
Terminvereinbarung
(02268) 2072

Unsere Leistungen
Mit Hilfe moderner Zahnmedizin können Ihre eigenen Zähne ein Leben lang gesund erhalten bleiben und falls notwendig, kosmetische Verbesserungen eingebracht werden.
Im Mittelpunkt steht der Mensch - mit seinen Ängsten und Nöten - gerade beim Zahnarzt. Schmerzfreie Behandlungen sind Voraussetzungen für zufriedene Patienten.
Besondere Schwerpunkte in unserem Angebot sind: Prophylaxe, Funktionsanalyse, Implantologie, Parodontologie, Ästhetik, Zahnerhaltung und Zahnersatz.

Schöne und gesunde Zähne sind der Schmuck Ihres Gesichtes!
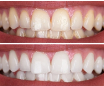
Doch mit Zähneputzen alleine reicht es nicht. Tee, Kaffee, Rotwein, Nikotin und alles sonst, was das Leben so lebenswert macht, schlägt sich nach kurzer Zeit auf Ihren Zähnen nieder. Dunkle Verfärbungen, harte und weiche Beläge sind die Vorboten von Zahn- und Zahnfleischerkrankungen, zumal die Zahnbürste die Zahnfleischtaschen nicht reinigen kann.
Dies können Sie verhindern! Mit Hilfe der professioneller Zahnreinigung entfernen wir auf schonende Weise Ihre Verfärbungen und Beläge. Sie halten Ihre Zähne und Zahnfleisch gesund, in vielen Fällen beseitigen wir die Ursache von Mundgeruch, und Ihre Zähne erhalten ein strahlend weißes Aussehen. Sprechen Sie uns auf Ihre „Professionelle Zahnreinigung“ für schöne und gesunde Zähne an.
Unsere Leistungen
-
Modernste Diagnosemethoden
-
bester auf dem Markt erhältlicher Kariesindikator
-
professionelle Zahnreinigung
-
Zahnversiegelungen
-
Anleitung zur optimalen Zahnpflege

Zahnbehandlung
Es ist kein Zufall und auch kein Geheimnis, wie man seine Zähne gesund und fit hält. Gesunde Ernährung, gründliche Pflege und regelmäßige Vorsorgeuntersuchungen beim Zahnarzt helfen dabei Krankheiten zu verhindern und Ihre Zähne ein Leben lang zu erhalten.
Wir bieten Ihnen in nahezu allen Bereichen der Zahnheilkunde im Rahmen der Vorsorgeuntersuchungen und bei akuten Beschwerden individuelle und innovative Behandlungsmöglichkeiten. Erfahrene und sehr gut ausgebildete Zahnmediziner sowie ein motiviertes Team engagieren sich und stehen für einen erfolgreichen Behandlungsablauf.
Unter Einsatz modernster Technologie, wie z.B. Laser und intraorale Kamera, sind wir bei der Zahnbehandlung in vielen Bereichen tätig.
Unsere Leistungen
-
Diagnostik
-
ästh. Füllungstherapie
-
Endodontie
-
Parodontolgie
-
Laserzahnheilkunde
-
Oralchirurgie

Wir zaubern Ihnen ein strahlendes typgerechtes Lächeln!
Schon kleine Korrekturen können nicht nur Ihr Lächeln, sondern die gesamte Ausstrahlung verändern. Möglicherweise sind Sie mit dem Erscheinungsbild Ihrer Zähne unzufrieden, weil Ihnen die Zahnfarbe aufgrund von Verfärbungen nicht hell genug ist oder Ihre Zähne vielleicht durch Knirschen an Zahnsubstanz verloren haben. Vielleicht hat auch ein Unfall dazu beigetragen, dass Ihr Lächeln nicht makellos ist oder es fehlt Ihnen ein besonderes Detail, um die natürliche Schönheit Ihrer Zähne zu unterstreichen.
Egal, welche Beweggründe Sie haben, die Möglichkeiten der Zahnästhetik sind nahezu unbegrenzt. Wir analysieren zunächst die Harmonie Ihrer Zahnreihen, Fehlstellungen, Verfärbungen und werden unter Berücksichtigung möglicher Zahn- oder Zahnfleischerkrankungen eine umfassende ästhetische Behandlungsplanung erstellen. Auf diese Weise erzielen wir ein Ergebnis, dass harmonisch wirkt und gleichzeitig Ihren Wünschen und Vorstellungen entspricht.
Unsere Leistungen
-
Analyse der Harmonie Ihrer Zahnreihen, Fehlstellungen, Verfärbungen
-
Erstellung einer umfassenden ästhetischen Behandlungsplanung
-
Entfernung von Verfärbungen
-
Aufbau von Zahnsubstanz

Natürlich schön…
Verloren gegangene oder beschädigte Zähne können die Lebensfreude und das Selbstbewusstsein eines Menschen sehr negativ beeinflussen.
Daher ist der Einsatz von individuellem möglichst unsichtbarem Zahnersatz, wie Kronen, Brücken, Prothesen und Implantaten nicht nur aus funktionellen und ästhetischen Gründen eine wichtige Errungenschaft der modernen Zahnmedizin.
Im hauseigenen Dentallabor fertigen unsere Zahntechniker mit Liebe zum Detail ausgewählte und zusammengestellte Keramikschichtungen, die durch ihre Brillanz dem natürlichen Zahn in nichts nachstehen und sich dadurch quasi „unsichtbar“ den echten Zähnen anpasst.
Natur pur in Transparenz und Lichtbrechung, denn auch der natürliche Zahn besteht nicht nur mehr oder weniger aus der Farbe Weiß – wie der flüchtige Blick vielleicht zunächst vermuten lässt.
Ihre Vorteile
-
substanzschonende vollkeramische Restaurationen (Inlays, Teilkronen, Kronen, Veneers u.v.m.)
-
ohne Abdruck und Provisorium in nur einer Sitzung im eigenen Praxislabor













